リウマチ科
RHEUMATOLOGY
関節リウマチとは

関節リウマチは免疫の異常により自分で自分の体を攻撃してしまう病気です。
有病率は人口の0.6-1.0%、男女比1:3〜5とされています。からだ中の関節が障害され、放置すると痛みだけでなく、関節の変形が進みその機能が失われてしまいます。
最近では発症早期から病状が進行することが分かり、早期の診断、治療開始が重要だとされています。
発症には遺伝的な要素もありますが、環境因子も関連が指摘されています。
中でも喫煙(受動喫煙も含む)と歯周病は重要な因子です。
意外と知れられていませんが禁煙と歯周病管理も大切です。
関節リウマチの症状
-
関節の症状
・朝のこわばり ・関節の腫れ ・痛み(特に手の指・手関節・膝関節・足の指) ・関節の変形 など
-
全身の症状(合併症も含む)
・微熱 ・倦怠感 ・体重減少 ・貧血症状 ・咳、息切れ など
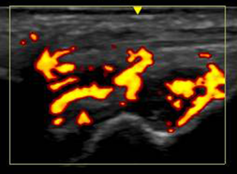
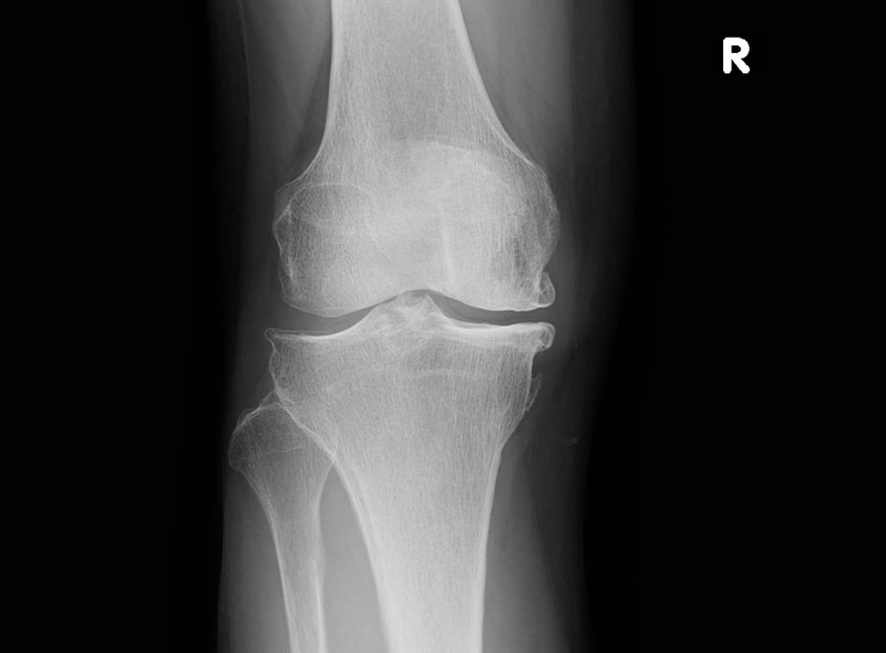
診断(検査)
診断はACR/EULAR分類基準を参考に行われます。
症状(関節の腫れ具合)、血液検査(リウマトイド因子、抗CCP抗体、炎症反応)、症状が出てからの期間などから総合的に判断します。
レントゲンや超音波診断も有効です。
また、リウマチに似ている病気との鑑別も大切です。
治療

関節リウマチの治療はまず薬物療法が基本となります。
近年では発症早期から関節破壊が進行することがわかってきたため、診断確定後速やかに積極的に治療を行うことが必要と考えられています。
また薬物療法を行っていても十分な効果が得られなかったり、時間と共に関節の変形が進行してしまった場合には手術的治療が適応になります。失われてしまった関節機能や残存する痛みを改善することができます。
ご本人の意欲があればできることは少なくありません。
薬物療法

日本や欧米の診療ガイドラインを参考にしながら治療を行います。
メトトレキサートという抗リウマチ薬がファーストチョイスです。
ただし、メトトレキサートで十分な効果が得られない場合には生物学的製剤、JAK阻害薬の追加が必要となる場合もあります。また、症状に応じて関節注射なども行います。
手術療法
機能障害が起こってしまった関節には人工関節置換術(膝、股関節、肘、足など)が適応になります。また滑膜炎により腱が切れてしまった場合には、腱移行術や関節形成術が適応になります。
適切な時期に適切な手術を行うことが機能維持には欠かせません。