整形外科
ORTHOPEDICS
整形外科について

捻挫や骨折といったケガだけでなく、肩こり、手足のしびれといった不快な症状や腰痛、膝関節痛、五十肩などといった慢性のつらい痛みまで、最新の知識と検査機器を用いて適切な治療法を提案いたします。また、高齢者の健康寿命に大きく関与する骨粗鬆症治療も当院の得意分野です。
当院ではお子さまからご高齢の方にいたるまで、あらゆる年齢層の診療を行っております。気になる症状やお体のお悩みは当院にご相談ください。
MRIを使った検査・診療

レントゲンでは評価することが出来ない靭帯や骨の状態を詳しく評価することができます。
靭帯損傷や腰椎圧迫骨折や腫瘍の正確な診断が可能です。
当院のMRIはオープン型ですので、狭い空間が苦手な方も少ないストレスで検査を受けることが出来ます。
MRI検査画像
-

腰椎(脊柱管狭窄症)
-

膝(半月板損傷)
-

肩(腱板断裂)
デジタルX線画像診断装置

画像の拡大縮小やコントラスト調整が可能のため診断精度が向上し、わかりやすい説明も可能です。
当院では最新のデジタルX線画像診断装置を用いて、正確な診断と被ばく量の軽減を心がけています。
レントゲン検査画像
-

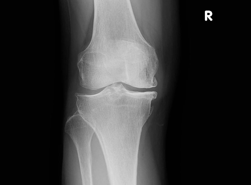
膝(変形性膝関節症)
-

股関節(変形性膝関節症)
-

腰(腰椎すべり症)
超音波診断装置

X線では評価しにくい筋肉や靭帯などを詳細に描出する、身体に優しい診断装置です。
関節のケガの場合には患部を動かしながら評価できるところも特徴です。
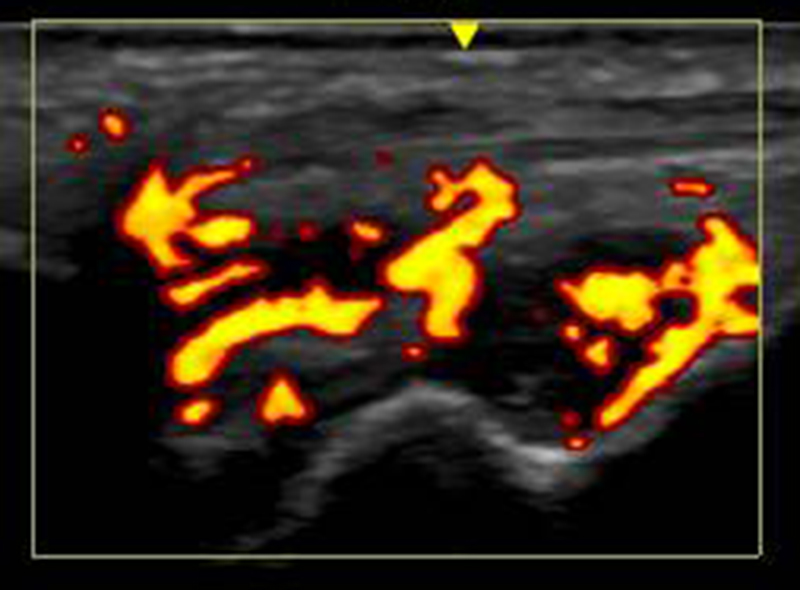
関節リウマチでは患部の炎症を評価する場合に有効です。
また、軟部腫瘍(できもの)の評価にも力を発揮します。
超音波検査画像
-

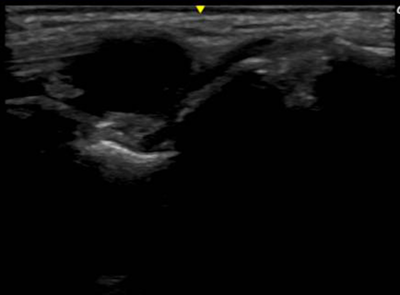
腓腹筋(ふくらはぎの筋肉)
-

ガングリオン
-

リウマチ
骨密度測定(DEXA法)

DEXA 法は精度の高い測定ができるため、現在骨密度測定の標準とされている検査方法です。
当院では大腿骨と腰椎の測定を行っています。骨折を起こしやすい部位を直接測ることにより骨折リスクを発見することができます。
検査時間は10分程度です。被曝量は少なく、横になっているだけで検査が行えます。
装具療法

「装具療法」は、身体の機能を補助するために装具を使用する治療法です。
関節や筋肉のサポート、姿勢の矯正、外傷や疾患の治療、痛みの軽減などに活用されます。適切な装具の選定や調整により、日常生活や運動機能の向上を促し、症状の緩和や回復を支援します。患者様の状態やニーズに合わせて適切な装具を提供し、継続的なサポートを行います。
当院では、インソール選びや、適切なサポーター選びのお手伝いも行なっています。